מקומון רמת גן
  • דף הבית
  • חדשות רמת גן
    • חדשות דתי-חרדי
  • קהילה
    • רכילות
    • חינוך
  • תרבות
  • נדל"ן
  • ספורט
  • צרכנות
    • עסקים
    • אוכל
    • אופנה
    • הום סטיילינג ועיצוב
    • תיירות ונופש
  • דעות
    • עצה משפטית
  • יצירת קשר
  • דף הבית
  • חדשות רמת גן
    • חדשות דתי-חרדי
  • קהילה
    • רכילות
    • חינוך
  • תרבות
  • נדל"ן
  • ספורט
  • צרכנות
    • עסקים
    • אוכל
    • אופנה
    • הום סטיילינג ועיצוב
    • תיירות ונופש
  • דעות
    • עצה משפטית
  • יצירת קשר
כתבות אחרונות במקומונט רמת גן:
  • 22 דצמבר, 2025 "הך הך הכח": ספר חדש מחזיר את רמת גן לימי התהילה
  • 21 דצמבר, 2025 "מסיבת אור" בשיבא: עמותת שניר שימחה חיילים ומאושפזים במחלקות השיקום
  • 16 דצמבר, 2025 דרמה ברחוב הירדן: בת 83 התמוטטה במונית
  • 2 דצמבר, 2025 רמת גן מנציחה את סרן רואי מילר הי"ד לוחם מפקד ואבא לחייליו
  • 24 נובמבר, 2025 רחוב חדש ברמת גן ינציח את שמו של קצין הפלוגה החרדית בגבעתי
  • 27 אוקטובר, 2025 לילה מתוח ברמת גן: מרדפים, התנגשויות ופגיעה בניידת במהלך גניבת כלי רכב — שלושה חשודים נתפסו
  • 16 אוקטובר, 2025 לאחר המתקפה האירנית: מפקד פיקוד העורף בביקור בעיר
  • 30 ספטמבר, 2025 חגים ואינסוף חופשות משפחתיות: איך מתמודדים?
  • 26 ספטמבר, 2025 ״איש צדיק ובן אדם שהוא כולו נתינה״: מגן דוד אדום נפרד מהמתנדב הוותיק
  • 17 ספטמבר, 2025 מילואימניקים בשביל בעלי החיים: אימוץ שמקרב לבבות
מקומון רמת גן
  • דף הבית
  • חדשות רמת גן
    • חדשות דתי-חרדי
  • קהילה
    • רכילות
    • חינוך
  • תרבות
  • נדל"ן
  • ספורט
  • צרכנות
    • עסקים
    • אוכל
    • אופנה
    • הום סטיילינג ועיצוב
    • תיירות ונופש
  • דעות
    • עצה משפטית
  • יצירת קשר
  • דף הבית
  • חדשות רמת גן
    • חדשות דתי-חרדי
  • קהילה
    • רכילות
    • חינוך
  • תרבות
  • נדל"ן
  • ספורט
  • צרכנות
    • עסקים
    • אוכל
    • אופנה
    • הום סטיילינג ועיצוב
    • תיירות ונופש
  • דעות
    • עצה משפטית
  • יצירת קשר
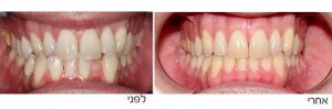
ראשי » צרכנות » יישור שיניים ברמת גן אצל אורטודנט מומחה » teeth-straightening—idit-barkana

teeth-straightening—idit-barkana

האתר בתהליך הנגשה לבעלי מוגבלויות

אנו עושים כל מאמץ להשלים את הנגשת האתר! במידה ונתקלת בבעיה אנא פנה אלינו!

תגיות
אביהוא בן משה אופניים אור ירוק ארנונה בורסת היהלומים בחירות מקומיות ביטוח בית ספר בריאות גבעתיים הבורסה ברמת גן הספארי הפארק הלאומי התחדשות עירונית זינגר חיה מנע חיות מחמד חינוך ילדים ישראל זינגר כרמל שאמה כרמל שאמה הכהן לימודים ליעד אילני מד''א משטרה משטרת ישראל משרד החינוך מתחם הבורסה נדל''ן נופש ספורט עורך דין עיריית רמת גן עסקים פינוי בינוי קהילה קורונה רועי ברזילי רכב רמת גן תאונות דרכים תאונת דרכים תלמידים תמ"א 38
האתרים שלנו: תרבוש-פורטל תרבות ונופש למגזר הדתי | המגזר-פורטל חדשות למגזר הדתי | מודיעין | מדינט – פורטל בריאות ורווחה | החדשות הטובות בישראל | רמת גן | בת ים - חולון | גב"ש | יש''ע:שומרון בנימין וגוש עציון | במרכז- לחברי הבית היהודי | לוד | לימודים אקדמאיים בישראל | חדשות ישראל | כפר סבא | נדל"ן
גלילה לראש העמוד
דילוג לתוכן
פתח סרגל נגישות כלי נגישות

כלי נגישות

  • הגדל טקסטהגדל טקסט
  • הקטן טקסטהקטן טקסט
  • גווני אפורגווני אפור
  • ניגודיות גבוההניגודיות גבוהה
  • ניגודיות הפוכהניגודיות הפוכה
  • רקע בהיררקע בהיר
  • הדגשת קישוריםהדגשת קישורים
  • פונט קריאפונט קריא
  • איפוס איפוס